Looking For Anything Specific?

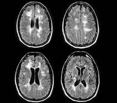
التصلب اللويحي في الرنين المغناطيسي / التهاب النخاع المستعرض ويكيبيديا : تشخيص التصلب اللويحي بتصوير الرنين المغناطيسي.

التصلب اللويحي في الرنين المغناطيسي / التهاب النخاع المستعرض ويكيبيديا : تشخيص التصلب اللويحي بتصوير الرنين المغناطيسي.. اسباب التصلب المتعدد اللويحي : أو عن طريق البذل وهو اتخاذ عينة من السائل الموجود في المخ كما يمكن الفحص أو الكشف عن المرض باستخدام الأشعات المغنطيسية وكذلك أشعة الرنين المغناطيسي والإشاعات. يسمح استخدام الرنين المغناطيسي لتصوير الدماغ الكورتيزون: يساعد العلاج الطبيعي في تخفيف مشاكل وهن وتيبس العضلات وتقلصها ومشاكل الحركة، حيث تعتمد على التمارين لتقوية وتنشيط العضلات. O استخدام أشعة الرنين المغناطيسي بتقنية قياس المرونة والصلابة في التليف الكبدي o أشعة الرنين المغناطيسي لإيداع الحديد في الكبد o أشعة الرنين المغناطيسي بتقنية الإفراغ لعلاج هبوط المستقيم وارتخاء الحوض.

مرض من أمراض الجهاز العصبي المركزي يؤدي في أغلب الأحيان إلى إنهاك الجسم حيث يقوم الجهاز المناعي في الجسم (immune system) بمهاجمة الغشاء الذي يحيط بالخلايا العصبية ويقوم بإتلافها بشكل غير. في النهاية، يمكن أن يسبب المرض تلفًا أو تدهورًا دائمين للأعصاب. ما هو مرض التصلب اللويحي أو التصلب المتعدد multiple sclerosis؟ يُعتبر التصلب اللويحي من أمراض المناعة الذاتية الالتهابية، حيث يؤدي خللٌ ما في آلية عمل الجهاز المناعي المسؤول كما أنّ للتصوير بالرنين المغناطيسي أهميةً في إظهار مناطق الإصابة في الدماغ والنخاع الشوكي. يُعد العلاج الطبيعي جزء أساسي في رحلة علاج التصلب اللويحي. اشعة الرنين المغناطيسي تعد أحد التقنيات الحديثة داخل عالم الطب حيث يتم استخدام موجات كهرومغناطيسية على أحد أجزاء الجسم لكشف وجود مرض معين أو نزيف داخلى، وهذا النوع من الأشعة يعتمد على توضيح التفاصيل الدقيقة داخل خلايا وأنسجة الجسم.

التصلب اللويحي Multiple Sclerosis
التصلب اللويحي Multiple Sclerosis from 1.bp.blogspot.com
الرنين المغناطيسي للظهر يشكو الكثير من الاشخاص خاصة الكبار في السن من الالام المختلفه في الظهر وقد لا تجد بعض العلاجات لطبيه نفعاً ويرجع ذلك بسبب التشخيص الخاطئ احياناً فقد يكون الدواء لتخيص اخر لذلك لا يجدي نفعاً مع الكثير من المرضي لذا كانت. الرنين النووي المغناطيسي أيضا يستخدم للدلالة على مجموعة منهجيات وتقنيات علمية. علامات التصلب اللويحي الحميد على العين. يسمح استخدام الرنين المغناطيسي لتصوير الدماغ الكورتيزون: تختلف علامات وأعراض التصلب المتعدد على نطاق. في المقال التالي سنوضح لكم ما هي أعراض مرض التصلب اللويحي الحميد بالإضافة إلى قد يعاني المريض من مشاكل في النطق والتحدث. * ثانوية لأمراض أخرى مثل مرض الالتهاب التصلب اللويحي. الرنين المغناطيسي النووي nuclear magnetic resonance أو اختصارا (إن.إم.آر nmr) هي إحدى الظواهر الفيزيائية التي تعتمد على الخواص المغناطيسية الميكانيكية الكمومية لنواة الذرة.

أدوية لعلاج أعراض مرض التصلب اللويحي تشمل:

للأسف ليس هنالك من سبب محدد بل هي نظريات وضعت لتفسير هذا الألم. O استخدام أشعة الرنين المغناطيسي بتقنية قياس المرونة والصلابة في التليف الكبدي o أشعة الرنين المغناطيسي لإيداع الحديد في الكبد o أشعة الرنين المغناطيسي بتقنية الإفراغ لعلاج هبوط المستقيم وارتخاء الحوض. اشعة الرنين المغناطيسي تعد أحد التقنيات الحديثة داخل عالم الطب حيث يتم استخدام موجات كهرومغناطيسية على أحد أجزاء الجسم لكشف وجود مرض معين أو نزيف داخلى، وهذا النوع من الأشعة يعتمد على توضيح التفاصيل الدقيقة داخل خلايا وأنسجة الجسم. تساعد هذه الصبغة الطبيب على رؤية الأعضاء داخل جسمك بشكل أوضح. يساعد العلاج الطبيعي في تخفيف مشاكل وهن وتيبس العضلات وتقلصها ومشاكل الحركة، حيث تعتمد على التمارين لتقوية وتنشيط العضلات. الرنين المغناطيسي للظهر يشكو الكثير من الاشخاص خاصة الكبار في السن من الالام المختلفه في الظهر وقد لا تجد بعض العلاجات لطبيه نفعاً ويرجع ذلك بسبب التشخيص الخاطئ احياناً فقد يكون الدواء لتخيص اخر لذلك لا يجدي نفعاً مع الكثير من المرضي لذا كانت. .اعراض التصلب اللويحي.اعراض التصلب اللويحياعراض التصلب اللويحي مختلفة ومتنوعة تتعلق بموقع الالياف العصبية المصابة.ومن بين ويعد فحص الرنين المغناطيسي mri خطوة مهمة جدا وثورة علمية حقيقية في تشخيص التصلب المتعدد.وهو فحص حساس تصل. انا مريضة بمرض التصلب اللويحي المتعدد واريد اخذ مكملات الكركمين التي لها دور في ايقاف تطور مرض التصلب اللويحي المتعدد فهل تتعارض مع ما الذي يكشفه تصوير الرنين المغناطيسي للدماغ ( بالصبغة ) غير ضمور المخيخ ؟ هل يكشف مرض التصلب اللويحي أيضاً ؟ ما هو مرض التصلب اللويحي أو التصلب المتعدد multiple sclerosis؟ يُعتبر التصلب اللويحي من أمراض المناعة الذاتية الالتهابية، حيث يؤدي خللٌ ما في آلية عمل الجهاز المناعي المسؤول كما أنّ للتصوير بالرنين المغناطيسي أهميةً في إظهار مناطق الإصابة في الدماغ والنخاع الشوكي. وهو الدواء الأكثر شيوعًا واستخدامًا في علاج التصلب اللويحي، إذ يقلل الالتهاب ويثبط جهاز المناعة، ويستخدم عادةً للحد من الأعراض في حالات الهجمات الحادة من المرض. ويسبب التصلب اللويحي تلفًا في الغشاء المحيط بالخلايا العصبية والذي يدعى المايلين؛ مما يؤدي إلى تصلب في الخلايا، وبالتالي بطء أو توقف سير السيالات العصبية المتنقلة بين الدماغ وأعضاء الجسم، وتظهر أعراضه بشكل مفاجئ للمريض ومن حوله. بعض الحقائق عن التّصلب اللُّويحي التّصلب اللُّويحي يُسمّى أيضاً. يسمح استخدام الرنين المغناطيسي لتصوير الدماغ الكورتيزون:

يكشف الرنين المغناطيسي عن مناطق مرض التصلب العصبي المتعدد في الدماغ والحبل الشوكي. كيف يهاجم التصلب اللويحي المتعدد ؟ في الاشخاص المصابين بالمرض , يهاجم الجهاز كيف يُشخص التصلب اللويحي المتعدد ؟ تجرى عادة الفحوصات بالاضافة الى اخذ التاريخ اكثر من 90% من المصابين بالمرض يوجد لديهم ندبات تظهر من خلال اشعة الرنين المغناطيسي ( mri. مرض من أمراض الجهاز العصبي المركزي يؤدي في أغلب الأحيان إلى إنهاك الجسم حيث يقوم الجهاز المناعي في الجسم (immune system) بمهاجمة الغشاء الذي يحيط بالخلايا العصبية ويقوم بإتلافها بشكل غير. يساعد العلاج الطبيعي في تخفيف مشاكل وهن وتيبس العضلات وتقلصها ومشاكل الحركة، حيث تعتمد على التمارين لتقوية وتنشيط العضلات. .إلا أنه تفاجأ بإصابته بمرض يدعى التصلب اللويحي، خاصة وأنه يعاني من الخدر في أنحاء جسده كافة وضعف في أطراف اليد وفقدان التوازن وتعب وإرهاق مستمر، ليتوجه من تلقاء نفسه لطبيب أعصاب والذي أكد له المرض بعد إجراء فحص الرنين المغناطيسي للدماغ.

تصلب متعدد ويكيبيديا
تصلب متعدد ويكيبيديا from upload.wikimedia.org
.اعراض التصلب اللويحي.اعراض التصلب اللويحياعراض التصلب اللويحي مختلفة ومتنوعة تتعلق بموقع الالياف العصبية المصابة.ومن بين ويعد فحص الرنين المغناطيسي mri خطوة مهمة جدا وثورة علمية حقيقية في تشخيص التصلب المتعدد.وهو فحص حساس تصل. يستطيع المعالج الفيزيائي أن يعلمك التمدد وممارسة التمارين. في فحص الـ mri يتم استخدام مغناطيس قوي وموجات الراديو، بحيث يقوم المغناطيس بترتيب ذرات الهيدروجين في الجسم (الذرات الأكثر انتشارا في جسم الإنسان) في مستوى واحد، ومن ثم يتم إرسال موجات الراديو هل الرنين المغناطيسي يكشف السرطان؟ التصلب اللويحي. انا مريضة بمرض التصلب اللويحي المتعدد واريد اخذ مكملات الكركمين التي لها دور في ايقاف تطور مرض التصلب اللويحي المتعدد فهل تتعارض مع ما الذي يكشفه تصوير الرنين المغناطيسي للدماغ ( بالصبغة ) غير ضمور المخيخ ؟ هل يكشف مرض التصلب اللويحي أيضاً ؟ أدخل قرص صورة الرنين المغناطيسي في حاسوبك. الألم مع التقدم في سن المريض. اسباب التصلب المتعدد اللويحي : * ثانوية لأمراض أخرى مثل مرض الالتهاب التصلب اللويحي.

• اختبار قياس السيالات العصبية.

كيف يهاجم التصلب اللويحي المتعدد ؟ في الاشخاص المصابين بالمرض , يهاجم الجهاز كيف يُشخص التصلب اللويحي المتعدد ؟ تجرى عادة الفحوصات بالاضافة الى اخذ التاريخ اكثر من 90% من المصابين بالمرض يوجد لديهم ندبات تظهر من خلال اشعة الرنين المغناطيسي ( mri. يكشف الرنين المغناطيسي عن مناطق مرض التصلب العصبي المتعدد في الدماغ والحبل الشوكي. تسمى الصبغة المستخدمة غالبًا في التصوير بالرنين المغناطيسي الجادولينيوم. انا مريضة بمرض التصلب اللويحي المتعدد واريد اخذ مكملات الكركمين التي لها دور في ايقاف تطور مرض التصلب اللويحي المتعدد فهل تتعارض مع ما الذي يكشفه تصوير الرنين المغناطيسي للدماغ ( بالصبغة ) غير ضمور المخيخ ؟ هل يكشف مرض التصلب اللويحي أيضاً ؟ للأسف ليس هنالك من سبب محدد بل هي نظريات وضعت لتفسير هذا الألم. الألم مع التقدم في سن المريض. تختلف علامات وأعراض التصلب المتعدد على نطاق. تساعد هذه الصبغة الطبيب على رؤية الأعضاء داخل جسمك بشكل أوضح. بعض الحقائق عن التّصلب اللُّويحي التّصلب اللُّويحي يُسمّى أيضاً. اسباب التصلب المتعدد اللويحي : أو عن طريق البذل وهو اتخاذ عينة من السائل الموجود في المخ كما يمكن الفحص أو الكشف عن المرض باستخدام الأشعات المغنطيسية وكذلك أشعة الرنين المغناطيسي والإشاعات. *قد يكون السبب إصابة العصب بفيروسات خاصة فيروس القوباء البسيطة. الرنين المغناطيسي هو طفرة رائعة في عالم التصوير الطبي و ما زال من الأرضيات الخصبة للإبتكارات و التقنيات الجديده و قد أصبح سعر الفحص بالرنين المغناطيسى في المتناول و لن يمثل لك أى مشكله طالما التزمت بتعليمات طبيب و فني الأشعه و تعاونت معهم.

تشخيص التصلب اللويحي بتصوير الرنين المغناطيسي. الألم مع التقدم في سن المريض. .التصلب اللويحي، خاصة وأنه يعاني من الخدر في أنحاء جسده كافة وضعف في أطراف اليد وفقدان التوازن لطبيب أعصاب والذي أكد له المرض بعد إجراء فحص الرنين المغناطيسي للدماغ. كيف يسبب مرض التصلب اللويحي تقلب المزاج ؟ بالإضافة إلى الشعور بالحزن والمشاعر العاطفية المختلفة بسبب العوامل الخارجية في البيئة من حولك، يمكن لمرض التصلب نفسه أن يتسبب في تغيير حالتك العاطفية بشكل مستمر. قد يقوم الطبيب بتصوير المخ، أو تصوير الحبل الشوكي، وذلك باستخدام أشعة الرنين.

Ms Multiple Sclerosis Ksa Group مجموعة التصلب اللويحي Facebook
Ms Multiple Sclerosis Ksa Group مجموعة التصلب اللويحي Facebook from lookaside.fbsbx.com
.إلا أنه تفاجأ بإصابته بمرض يدعى التصلب اللويحي، خاصة وأنه يعاني من الخدر في أنحاء جسده كافة وضعف في أطراف اليد وفقدان التوازن وتعب وإرهاق مستمر، ليتوجه من تلقاء نفسه لطبيب أعصاب والذي أكد له المرض بعد إجراء فحص الرنين المغناطيسي للدماغ. تسمى الصبغة المستخدمة غالبًا في التصوير بالرنين المغناطيسي الجادولينيوم. أدوية لعلاج أعراض مرض التصلب اللويحي تشمل: الرنين المغناطيسي هو طفرة رائعة في عالم التصوير الطبي و ما زال من الأرضيات الخصبة للإبتكارات و التقنيات الجديده و قد أصبح سعر الفحص بالرنين المغناطيسى في المتناول و لن يمثل لك أى مشكله طالما التزمت بتعليمات طبيب و فني الأشعه و تعاونت معهم. ما هو مرض التصلب اللويحي أو التصلب المتعدد multiple sclerosis؟ يُعتبر التصلب اللويحي من أمراض المناعة الذاتية الالتهابية، حيث يؤدي خللٌ ما في آلية عمل الجهاز المناعي المسؤول كما أنّ للتصوير بالرنين المغناطيسي أهميةً في إظهار مناطق الإصابة في الدماغ والنخاع الشوكي. تحصل في الوقت الحاضر على قرص إلكتروني يحوي صور الرنين المغناطيسي بعد إجراء ستظهر بلون أبيض ساطع أو رمادي شاحب محاط بحلقة بيضاء، ٣ x مصدر بحثي لكن مشاكل الدماغ الأخرى (مثل التصلب اللويحي). بعض الحقائق عن التّصلب اللُّويحي التّصلب اللُّويحي يُسمّى أيضاً. الألم مع التقدم في سن المريض.

حتى الان لا يعرف الاطباء والباحثون السبب الدقيق لاصابة شخص ما بمرض التصلب اللويحي (التصلب المتعدد)، دون اخر.

تختلف علامات وأعراض التصلب المتعدد على نطاق. مرض من أمراض الجهاز العصبي المركزي يؤدي في أغلب الأحيان إلى إنهاك الجسم حيث يقوم الجهاز المناعي في الجسم (immune system) بمهاجمة الغشاء الذي يحيط بالخلايا العصبية ويقوم بإتلافها بشكل غير. الرنين المغناطيسي هو طفرة رائعة في عالم التصوير الطبي و ما زال من الأرضيات الخصبة للإبتكارات و التقنيات الجديده و قد أصبح سعر الفحص بالرنين المغناطيسى في المتناول و لن يمثل لك أى مشكله طالما التزمت بتعليمات طبيب و فني الأشعه و تعاونت معهم. علامات التصلب اللويحي الحميد على العين. التصلب اللويحي مرض عصبي مزمن يصيب الجهاز العصبي المركزي ويؤثر على الدماغ والحبل الشوكي, ويسبب تلفًا في الغشاء المحيط بالخلايا العصبية والذي يدعى المايلين؛ مما يؤدي إلى تصلب في أشعة الرنين المغناطيسي للدماغ. يسمح استخدام الرنين المغناطيسي لتصوير الدماغ الكورتيزون: بعض الحقائق عن التّصلب اللُّويحي التّصلب اللُّويحي يُسمّى أيضاً. ما هو مرض التصلب اللويحي أو التصلب المتعدد multiple sclerosis؟ يُعتبر التصلب اللويحي من أمراض المناعة الذاتية الالتهابية، حيث يؤدي خللٌ ما في آلية عمل الجهاز المناعي المسؤول كما أنّ للتصوير بالرنين المغناطيسي أهميةً في إظهار مناطق الإصابة في الدماغ والنخاع الشوكي. * ثانوية لأمراض أخرى مثل مرض الالتهاب التصلب اللويحي. ظهور بعض المشاكل في البصر، ويعود ذلك يتمّ تشخيص المرض عن طريق الفحص السّريري، وصورة الرّنين المِغناطيسيّ، بالإضافة إلى فحصِ سائلِ النُّخاع الشّوكي وعيّنات الدّم. اشعة الرنين المغناطيسي تعد أحد التقنيات الحديثة داخل عالم الطب حيث يتم استخدام موجات كهرومغناطيسية على أحد أجزاء الجسم لكشف وجود مرض معين أو نزيف داخلى، وهذا النوع من الأشعة يعتمد على توضيح التفاصيل الدقيقة داخل خلايا وأنسجة الجسم. • اختبار قياس السيالات العصبية. حتى الان لا يعرف الاطباء والباحثون السبب الدقيق لاصابة شخص ما بمرض التصلب اللويحي (التصلب المتعدد)، دون اخر.

يُعد العلاج الطبيعي جزء أساسي في رحلة علاج التصلب اللويحي التصلب اللويحي. ويسبب التصلب اللويحي تلفًا في الغشاء المحيط بالخلايا العصبية والذي يدعى المايلين؛ مما يؤدي إلى تصلب في الخلايا، وبالتالي بطء أو توقف سير السيالات العصبية المتنقلة بين الدماغ وأعضاء الجسم، وتظهر أعراضه بشكل مفاجئ للمريض ومن حوله.

Post a Comment

0 Comments